loader

Precision-Crafted Dental Crowns for Strength & Esthetics

Crowns are one of the most reliable restorative solutions used to preserve, protect, and enhance damaged or weakened teeth. At Protocol Dental Lab, our crowns blend advanced digital design, precision milling, and lifelike esthetics to deliver restorations that feel natural, function flawlessly, and last for years. Each crown case is reviewed individually to determine the most appropriate material and workflow based on clinical requirements.

Dental Crowns

Why Choose Our Dental Crowns?

Maximum Strength

High-performance zirconia and ceramic materials offer superior durability and longevity.

Perfect Digital Fit

CAD/CAM design ensures accuracy, reduced chair time, and fewer adjustments.

Lifelike Aesthetics

Layered ceramics replicate natural translucency and tooth anatomy beautifully.

Our Crown Fabrication Workflow

✔ Step 1 — Digital Scanning / Traditional Impression
✔ Step 2 — CAD Design of Crown Anatomy
✔ Step 3 — Precision Milling of Zirconia / Ceramic
✔ Step 4 — Shade Matching & Characterization
✔ Step 5 — Sintering, Polishing & Glazing
✔ Step 6 — Final QC & Delivery to Clinic
Crown Workflow

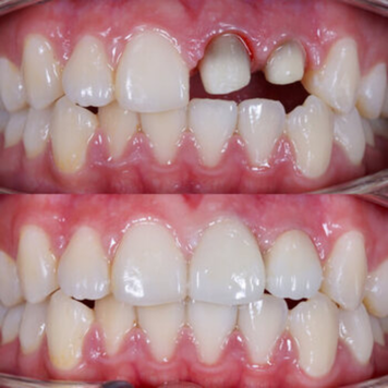
Crown Restoration Results

Benefits for Patients & Clinicians

Benefits for Patients

  • Strong protection for damaged or root-treated teeth
  • Natural appearance that blends with real teeth
  • Better comfort and chewing performance
  • Long-lasting stability with premium materials
  • Minimally invasive and highly aesthetic options

Benefits for Clinicians

  • Accurate fits reduce chairside adjustments
  • Seamless communication and digital workflow
  • Consistent shade accuracy and translucency
  • Faster turnaround and reliable outcomes
  • Multiple material choices for all clinical needs

Why Choose Dental Crowns?

With proper care, zirconia and ceramic crowns can last 10–15 years or more.
Zirconia offers strength; layered ceramics offer superior translucency and esthetics.
Our crowns are shade-matched and custom-textured to blend seamlessly with natural teeth.
Digital crowns offer faster delivery with exceptional precision and consistency.