loader

Precision-Driven Implant Restorations

Implant restorations provide stable, natural-looking replacements for missing teeth, restoring esthetics, function, and long-term comfort. At Protocol Dental Lab, we combine CAD/CAM technology, guided workflows, and premium materials to deliver highly accurate implant-supported restorations.

Implant Restorations

Why Implant Restorations?

Precise Fit

Digitally designed restorations ensure accurate seating and longevity.

Enhanced Esthetics

Lifelike contours, translucency and gingival shading for superior natural appearance.

Clinical Predictability

Digital implant planning supports accuracy and improved prosthetic outcomes.

Implant Restoration Workflow

✔ Step 1 — CBCT review and implant planning
✔ Step 2 — Digital impression or scan capture
✔ Step 3 — CAD prosthetic design
✔ Step 4 — Abutment milling / framework fabrication
✔ Step 5 — Ceramic layering / hybrid restoration build-up
✔ Step 6 — Delivery & occlusal refinement
Workflow

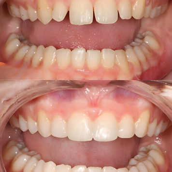
Before & After Transformation

Clinical Advantages

✔ Natural tooth appearance & contouring
✔ Better chewing efficiency vs dentures
✔ Soft tissue stability & emergence profile control
✔ Reduced adjustments & chair time
✔ Customized digital workflow
✔ Predictable long-term maintenance

FAQ – Implant Restorations

Properly maintained implants and restorations often last decades.
Modern implant prosthetics are highly durable and wear-resistant.
Yes, shape, color, emergence and bite alignment are fully customized.