loader

Digital Dentures with Protocol-Driven Control

Digital dentures at Protocol Dental Lab are designed for clinicians seeking predictable outcomes through controlled, protocol-based workflows.
Our process emphasizes in-house oversight, digital accuracy, and case-by-case planning — ensuring restorations that function reliably in real clinical environments, not just on-screen.

Digital Denture

When Digital Dentures Are the Right Solution

Digital denture workflows are recommended for qualifying cases and may require pre-case planning and consultation.

Protocol-Guided Accuracy

Digital impressions and CAD design ensure unmatched precision and a perfect fit.

Workflow-Based Efficiency

CAD/CAM workflow speeds up production while maintaining consistent quality.

Clinically Balanced Aesthetics

Natural shade options and lifelike gingival textures provide a beautiful smile.

Digital Denture Workflow

Each step is reviewed under senior technical oversight and adjusted based on clinical requirements, not automation alone.

✔ Step 1 — Patient Scanning (Intraoral / Model Scan)
✔ Step 2 — Digital Jaw Alignment & Measurements
✔ Step 3 — CAD Designing of Denture Base & Teeth
✔ Step 4 — Milling / 3D Printing
✔ Step 5 — Characterization & Staining
✔ Step 6 — Final Fitting & Adjustments

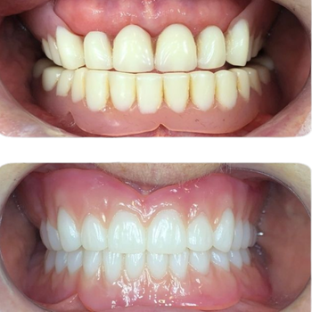
Digital Denture Results

Clinical Advantages of a Digital Denture Workflow

Benefits for Patients

  • Improved comfort due to accurate digital impressions
  • Faster treatment with fewer appointments
  • More natural-looking, aesthetic dentures
  • Reduced chairside adjustments and better long-term fit
  • Ability to remake dentures anytime (digital backup)

Benefits for Clinicians

  • Highly accurate scans minimize manual corrections
  • Predictable, repeatable results every time
  • Reduced chair time and faster case turnaround
  • Better communication with lab through digital workflow
  • Easy file storage & quick reproduction of prosthetics

Digital Denture Considerations

Digital dentures reduce manual steps and allow accurate reproduction. Faster scanning, designing, and milling leads to quicker delivery.
Digital impressions minimize human error. Results: Better fit, consistent quality, and fewer adjustments.
Digital workflow means fewer appointments and a better experience with highly detailed, repeatable designs.
Modern digital materials offer excellent aesthetics and long-lasting strength.
Since designs are saved digitally, dentures can be remade anytime without repeating full procedures.