loader

Precision-Crafted Porcelain Veneers for a Perfect Smile

Veneers are ultra-thin ceramic laminates placed on the front surface of teeth to correct discoloration, gaps, uneven edges, chips, or minor misalignment. At Protocol Dental Lab, our veneers are digitally crafted for lifelike translucency, flawless symmetry, and long-lasting esthetics — helping patients achieve a radiant, confident smile with minimal tooth preparation. Each veneer case is reviewed individually, with material selection and workflow tailored based on esthetic goals and clinical requirements.

Porcelain Veneers

Why Choose Our Veneers?

Instant Smile Makeover

Correct stains, gaps, chips, and asymmetry for a harmonious appearance.

Minimal Tooth Reduction

Ultra-thin porcelain ensures preservation of natural tooth structure.

Lifelike Esthetics

Highly translucent ceramics mimic enamel for seamless blending.

Our Veneer Fabrication Workflow

✔ Step 1 — Digital scan / impression and smile evaluation
✔ Step 2 — 3D mock-up design with ideal shape & symmetry
✔ Step 3 — Minimal preparation and try-in shells
✔ Step 4 — Hand-layered ceramic veneers for enhanced realism
✔ Step 5 — Shade characterization & polishing
✔ Step 6 — Final bonding and finishing
Veneer Workflow

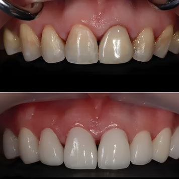
Porcelain Veneer Case Results

Benefits for Patients & Clinicians

Benefits for Patients

  • Bright, perfectly aligned smile
  • Conservative and painless treatment
  • Immediate boost in confidence and esthetics
  • Stain-resistant and durable ceramic
  • Customized shade and shape for each patient

Benefits for Clinicians

  • Precise digital planning for predictability
  • Enhanced patient acceptance with try-in mock-ups
  • Superior esthetic outcomes with advanced ceramic systems
  • Efficient communication between lab and clinic
  • Excellent wear resistance and long-term success

Why Choose Veneers?

With good hygiene and care, porcelain veneers can last 10–15 years or more.
Veneer treatment is minimally invasive and generally comfortable for patients.
Yes — high-translucency ceramics mimic enamel, giving a seamless, natural appearance.
Routine brushing, flossing, and avoiding hard biting keeps veneers healthy and long-lasting.