loader

Traditional Dentures

Traditional dentures offer a reliable and time-tested solution for restoring missing teeth, facial support, and chewing efficiency. At Protocol Dental Lab, we fabricate dentures using clinically proven materials and a protocol-driven workflow for reliable fit and function. Whether full or partial, our dentures are designed for seamless adaptation and long-term confidence.

Traditional Dentures

Why Traditional Dentures?

Restored Appearance

Rebuilds facial profile and enhances smile esthetics.

Improved Function

Supports chewing, speech, and everyday oral comfort.

Reliable & Time-Tested

A proven restorative solution for full or partial edentulism.

Traditional Denture Workflow

✔ Step 1 — Impression taking & bite registration
✔ Step 2 — Wax try-in for esthetics and fit
✔ Step 3 — Setup approval and smile evaluation
✔ Step 4 — Final denture fabrication
✔ Step 5 — Delivery & adjustment appointments
✔ Step 6 — Periodic follow-up for long-term comfort
Denture Workflow

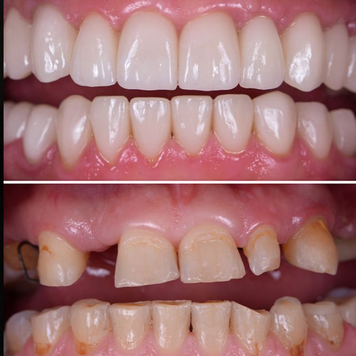
Before & After Transformation

Benefits of Traditional Dentures

✔ Restores appearance & confidence
✔ Better speech & functional chewing
✔ Full or partial replacement options
✔ Widely used and clinically dependable solution
✔ Custom fit for every patient
✔ Easy to maintain & adjust

FAQ – Traditional Dentures

A removable prosthesis that replaces missing teeth to restore smile, function, and facial support.
Individuals missing multiple or all teeth needing esthetic and functional restoration.
Yes — when well-fitted and periodically adjusted, dentures offer stable, natural comfort.